Main Navigation

Haematology

Haematology

The laboratory uses a Siemens Advia 2120 to perform full automated haematology. A blood smear examination is performed on every full haematology sample, in which white blood cell, red blood cell and platelet morphology are assessed and commented upon. Where appropriate, a manual differential is performed e.g. in samples with left shifts or atypical populations. To help with this freshly made blood smears are always greatly appreciated.

The haematology laboratory takes part in a national quality assurance scheme (UK NEQAS) to ensure measurable accuracy in our results. We aim to generate, validate and report results on the day of receipt of the sample, and usually within hours.

Contact us to discuss cases or for advice on sample collection and submission.

Clinical pathologists are involved in consulting, bone marrow examination and wider interpretation of the completed test panels.

Haematology

Sample

Turnaround

Information

APTT & PT

1-1.5ml citrate plasma

Same day

Time sensitive - please contact the laboratory before sampling.

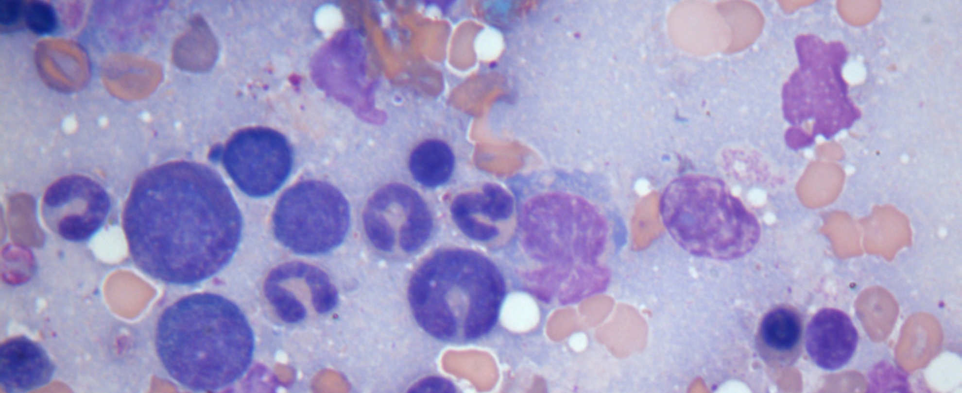
Bone marrow cytology

Bone marrow smears, 0.5-1ml EDTA
blood & blood smear

Same or next day

Includes full haematology if EDTA blood sample is submitted.

Coombs’ test

1ml EDTA

Same or next day

Canine polyvalent, IgG, IgM, complement C3.
Feline polyvalent.

Cross-matching

1ml EDTA & 1ml Serum

Same or next day

Samples required from both recipient and donors. Please contact the laboratory for information.

Fibrinogen

1ml EDTA

Same day

Equine/bovine only

Full haematology

0.5-1ml EDTA & blood smears

Same day

Hct, Hb, RBC, MCV, MCH, MCHC, Platelets, WBC, WBC differential, smear comment

Iron status

1ml serum

3-5 days

Iron concentration + total iron binding

+ % transferrin saturation

Reticulocyte count

0.5ml EDTA

Same day

New methylene blue stain

opens in new window